



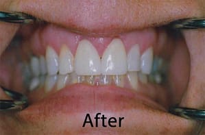
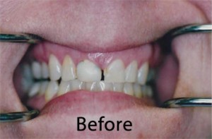
Dental veneers are custom-designed shells of a tooth-like ceramic material that, when applied over the surface of a tooth, can cover worn tooth enamel, uneven tooth alignment, or spacing and chips or cracks. Dental veneers fall into the category of cosmetic dentistry because they create a bright, white smile with beautifully aligned, shapely teeth. Even better, the translucent ceramic quality of today’s veneers provides a more natural look than what’s been available in the past.
Regardless of what causes unattractive teeth, dental veneers may solve most or even all of your cosmetic dental issues, including:
Enhance the shape and shade of your teeth with custom-fitted veneers.
The two most common materials used in the manufacture of dental veneers are porcelain and composite resin. Composite veneers are directly fabricated at the dental office. Porcelain veneers are indirectly fabricated (fabricated in a dental laboratory from an impression of your teeth) and bonded to the teeth with various tooth shaded resin cements. Of the two options, porcelain veneers are longer lasting.
Bonding often serves as an inexpensive and effective restoration for small chips and cracks in the teeth. Such minor problems may be functionally and cosmetically repaired with a composite “white filling.” A composite resin material is bonded to the tooth in order to fill in the chip or crack and better protect the surrounding tooth structure. But for more severe cases of dullness, wear, discoloration, advanced chipping, cracking, spacing, or uneven teeth, porcelain veneers may be recommended as a more appropriate solution.
Contact 410-666-9266 today to schedule a consultation to determine if dental veneers are right for you.